À Retenir
La prise en charge de la Choriorétinite Séreuse Centrale (CRSC) et des atteintes associées à la pachychoroïde repose sur un diagnostic précis, une surveillance adaptée et, si nécessaire, des traitements ciblés. Une identification précoce des facteurs de risque et une prise en charge rapide permettent de limiter les complications et d’optimiser la récupération visuelle.
1. Diagnostic et Consultation Initiale
La CRSC est une maladie de la rétine qui touche principalement les adultes jeunes ou d’âge moyen, en particulier les hommes. Elle se caractérise par une accumulation de liquide sous la rétine, entraînant une baisse de la vision.
Symptômes évocateurs :
- Vision floue, surtout au centre du champ visuel
- Déformation des lignes droites (métamorphopsies)
- Perception des couleurs altérée
Apparition d’une tache grisée (scotome central)
Facteurs de risque :
- Stress et hyperproduction de cortisol.
- Prise de corticoïdes sous toutes leurs formes, ou d’inhibiteurs de la phosphodiesterase de type 5 (ex: Viagra R).
- Troubles du sommeil et travail nocturne.
Hypertension artérielle et syndrome métabolique.
Examens de diagnostic :
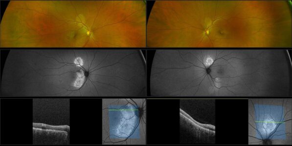
- OCT (Tomographie par Cohérence Optique) : permet de visualiser l’accumulation de liquide sous la rétine et d’apprécier l’épaisseur de la choroïde.
- Angiographie à la fluorescéine et au vert d’indocyanine : permet de visualiser le point de fuite de liquide et la coulée gravitationnelle en autofluorescence. Également utile pour différencier la CRSC d’autres maladies rétiniennes.
- OCT-Angiographie : permet d’explorer la circulation sanguine dans la choroïde et de détecter d’éventuelles complications néovasculaires.
2. Prise en charge Personnalisée
Dans de nombreux cas, la CRSC guérit spontanément en quelques semaines ou mois. Cependant, certaines formes nécessitent un traitement.
A. CRSC aiguë (épisode isolé et transitoire)
- Surveillance active avec examens réguliers
- Arrêt des corticoïdes ou, des inhibiteurs de la phosphodiesterase de type 5
- Gestion du stress et amélioration du sommeil
B. CRSC persistante ou récidivante
- Traitements médicamenteux : un traitement par éplérénone peut être proposé dans certains cas mais n’a pas prouvé son efficacité à long terme chez tous les patients.
- Photothérapie dynamique demi fluence (PDT) : traitement laser après injection d’un produit photosensibilisant, il induit des modifications de la choroïde dans l’objectif d’une résorption du fluide sous rétinien. C’est le traitement de référence encore aujourd’hui.
- Laser micropulsé ou laser focal sur le point de fuite: traitement de première intention dans les poussées aiguës si le liquide sous rétinien persiste après quelques mois et que le point de fuite est bien individualisable en angiographie.
- Injections intraoculaires d’anti-VEGF : traitement des complications néovasculaires associées.
3. Suivit Régulier
Le suivi ophtalmologique est essentiel pour surveiller l’évolution de la CRSC et prévenir les récidives.
Examen à chaque consultation :
- OCT systématique pour contrôler l’évolution de la rétine
- Évaluation de l’impact visuel et de la récupération
- Recherche de complications néovasculaire ou transformation vers une autre maladie associée à la pachychoroïde
4. Surveillance à Domicile
- Grille d’Amsler : permet de détecter précocement des anomalies visuelles.
- Attention aux symptômes d’aggravation : une nouvelle baisse de vision ou des déformations des lignes nécessitent une consultation rapide.
5. Prévention et Adaptation du Mode de Vie
- Réduction du stress avec des techniques de relaxation, hypnose, sophrologie, emdr ou tout autre psychothérapie courte.
- Optimisation du sommeil: rythme régulier, traitement de l’apnée du sommeil.
- Contrôle des facteurs métaboliques (hypertension, diabète, cholestérol).
Une prise en charge adaptée et un suivi régulier permettent de limiter les complications et de préserver au mieux la vision.

